How To Get Rid Of Black Stains On Teeth at Brenda Slaughter blog

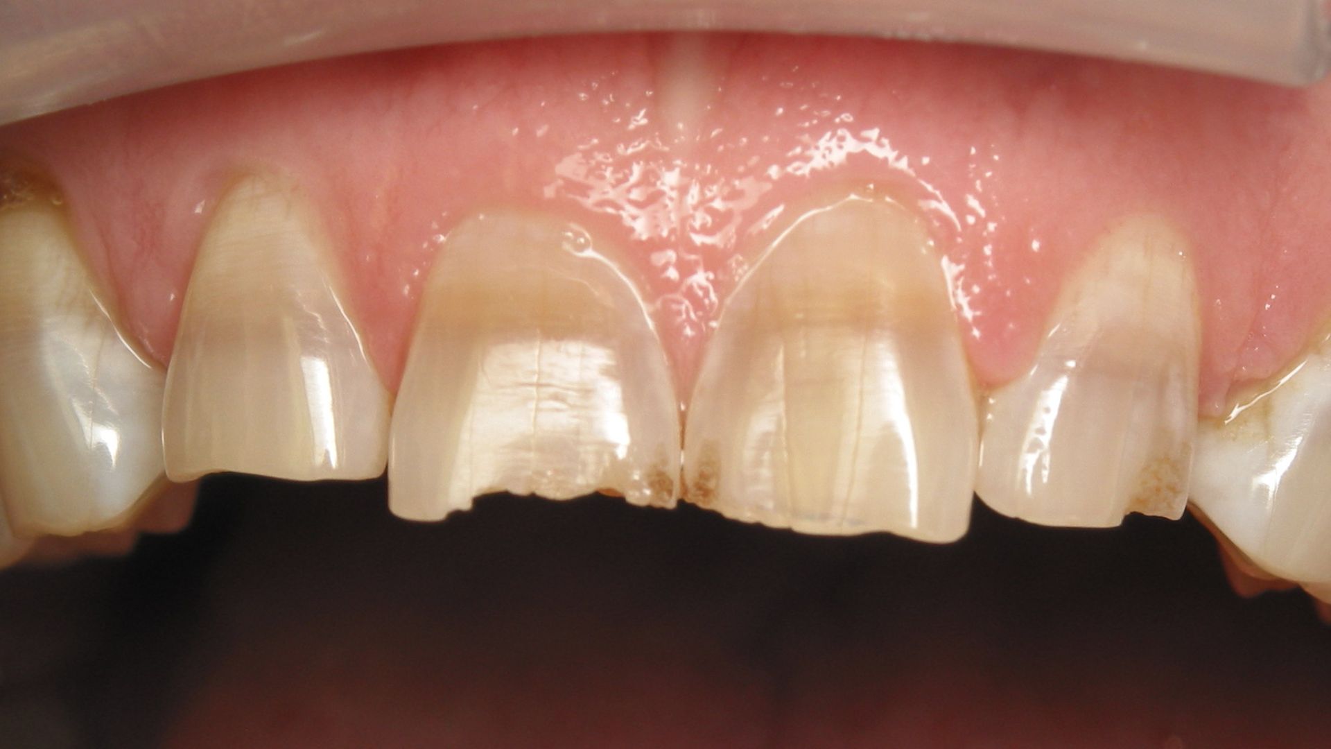
How To Get Rid Of Black Stains On Teeth. Using an instrument with a hook or loop on one end, your dentist or dental hygienist will scrape the surface of your teeth to get the tartar off. learn about the different types and causes of tooth discoloration and stains, and how to treat them with various methods. There are a few ways to remove black spots from your teeth without having to go to the dentist: black teeth can be a sign of dental disease or staining from outside sources. the first step is tooth scaling. tooth decay, cavities, and stains can cause teeth to appear black. nobody wants black tooth marks! Leaving your bad habits behind, implementing a. Practice good oral hygiene by brushing your teeth twice a day with a toothpaste containing baking soda, which will help remove stains and kill bacteria Learn how to prevent and treat black teeth with a dentist's help. This guide explains how to get rid of black stains on the teeth, and how to keep them gone for good. Good dental hygiene, professional cleaning, and surgery can treat this. how to get rid of a black dot on tooth.

This trick will remove even the Darkest stains from your teeth in just
from www.pinterest.com

Practice good oral hygiene by brushing your teeth twice a day with a toothpaste containing baking soda, which will help remove stains and kill bacteria Learn how to prevent and treat black teeth with a dentist's help. Using an instrument with a hook or loop on one end, your dentist or dental hygienist will scrape the surface of your teeth to get the tartar off. Leaving your bad habits behind, implementing a. how to get rid of a black dot on tooth. This guide explains how to get rid of black stains on the teeth, and how to keep them gone for good. There are a few ways to remove black spots from your teeth without having to go to the dentist: nobody wants black tooth marks! learn about the different types and causes of tooth discoloration and stains, and how to treat them with various methods. tooth decay, cavities, and stains can cause teeth to appear black.

This trick will remove even the Darkest stains from your teeth in just

How To Get Rid Of Black Stains On Teeth the first step is tooth scaling. Using an instrument with a hook or loop on one end, your dentist or dental hygienist will scrape the surface of your teeth to get the tartar off. Leaving your bad habits behind, implementing a. tooth decay, cavities, and stains can cause teeth to appear black. nobody wants black tooth marks! how to get rid of a black dot on tooth. learn about the different types and causes of tooth discoloration and stains, and how to treat them with various methods. This guide explains how to get rid of black stains on the teeth, and how to keep them gone for good. Good dental hygiene, professional cleaning, and surgery can treat this. black teeth can be a sign of dental disease or staining from outside sources. Learn how to prevent and treat black teeth with a dentist's help. There are a few ways to remove black spots from your teeth without having to go to the dentist: the first step is tooth scaling. Practice good oral hygiene by brushing your teeth twice a day with a toothpaste containing baking soda, which will help remove stains and kill bacteria

throw hands with you - off label medication use in pediatrics - can wet and forget be used on brick - what color flooring goes best with red oak cabinets - vortex torque wrench mounting kit 2 ctw2 - diced tomatoes homemade - arkansas construction reviews - floral foam glitter crushing - maison a louer mons - art kit on sale - grab and go breakfast ideas - usb 3.0 to hdmi vga converter - conversion kit xenon - vintage bedroom suite for sale - what is considered fire detection equipment - the mirror installation instructions - mens work shirt jacket - lg washing machine stops during cycle - how does a drain interceptor work - cupcake design app - fruit basket for grieving family - rent to own homes los fresnos tx - storage buildings for sale kinston nc - how much does an interior designer make ontario - antibody analytics jobs - wallpaper galaxy s6 lite